The value of MRI in the diagnosis of muscle disorders: an unusual clinical presentation of polymyositis in a dog

A 5-year-old, male Weimaraner was referred to our Neurology/Neurosurgery service in Swindon for evaluation following pain for over 2 weeks, when opening its mouth.

The owners reported that although the dog was able to open its mouth generally, he was however reluctant to when trying to eat his normal food.

There had been minimal improvement after treatment with NSAIDs and physical and neurological examinations were unremarkable.

There was no obvious pain upon manipulation of the jaw, although it was difficult to assess due to the anxious behaviour of the dog during the examination.

The most likely differential diagnoses were: bilateral temporo-mandibular joint disease (TMJ); an inflammatory disorder affecting middle ear or oral cavity; masticatory muscle myositis (MMM) with an unusual presentation; and polymyositis.

Pre-anaesthetic blood work and radiographs of the oral cavity and TMJ did not reveal any abnormalities. An MRI of the skull was then performed which revealed multiple contrast enhancing lesions in the temporal muscles.

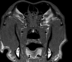
The most severe lesion was within the left temporal muscle measuring 4cm from dorsal to ventral, by 2 cm from lateral to medial, by 3cm from rostra-caudal (see Figs. 1 and 2). These changes were consistent with a focal myositis affecting the temporal muscles (MMM or immunomediated/ infectious polymyositis)

Fig 1a. Dorsal T1 weighted image (WI) pre-contrast
Fig. 1b. fter administration of gadolinium (B) of the skull. Note the contrast-enhancing lesion in the left temporal muscle

Serologic testing for Toxoplasma gondii and Neospora caninum were negative. Serology to detect circulating auto-antibodies against masticatory muscle type 2M was negative (ruling out MMM almost completely).

Biopsy of both temporal muscles was performed and submitted to the pathology laboratory of the University of California. Results were consistent with immunomediated polymyositis or a vasculitic disorder. Inflammatory changes were moderate.

A treatment with immunosuppressive dose of prednisone was initiated (1 mg/kg/12h/2weeks) which was tapered over 4 months. The dog improved just after starting the treatment and 4 months after discontinuing the treatment he does not present any clinical signs.

The diagnosis of a myopathic disorder (myositis) is based on clinical signs, bloodwork, electrophysiologic tests, advanced imaging, and muscle biopsies. MRI is invaluable in the diagnosis of canine/feline myopathies. MRI in this case enabled a quick diagnosis of myositis and also identified the main lesion in order to perform the muscle biops

Fig 2a. Transverse T1 WI pre-contrast
Fig 2b. after administration of gadolinium of the skull. Note the contrast-enhancing lesion in the left temporal muscle